Dra. Paola
Dra. PaolaDíaz Pacheco
Cirujano Dentista U. del Desarrollo
Ortodoncista
Odontopediatría

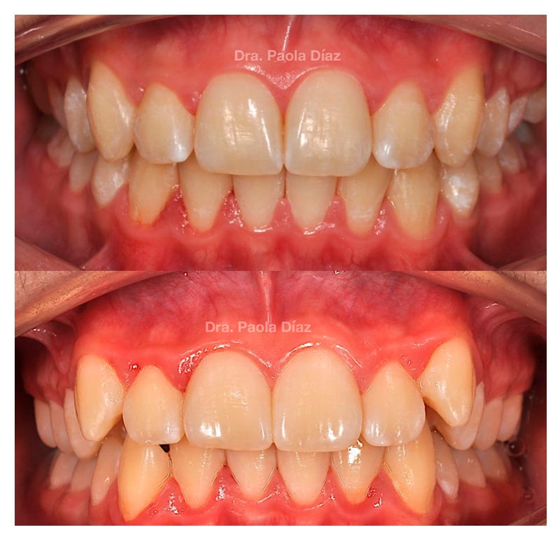
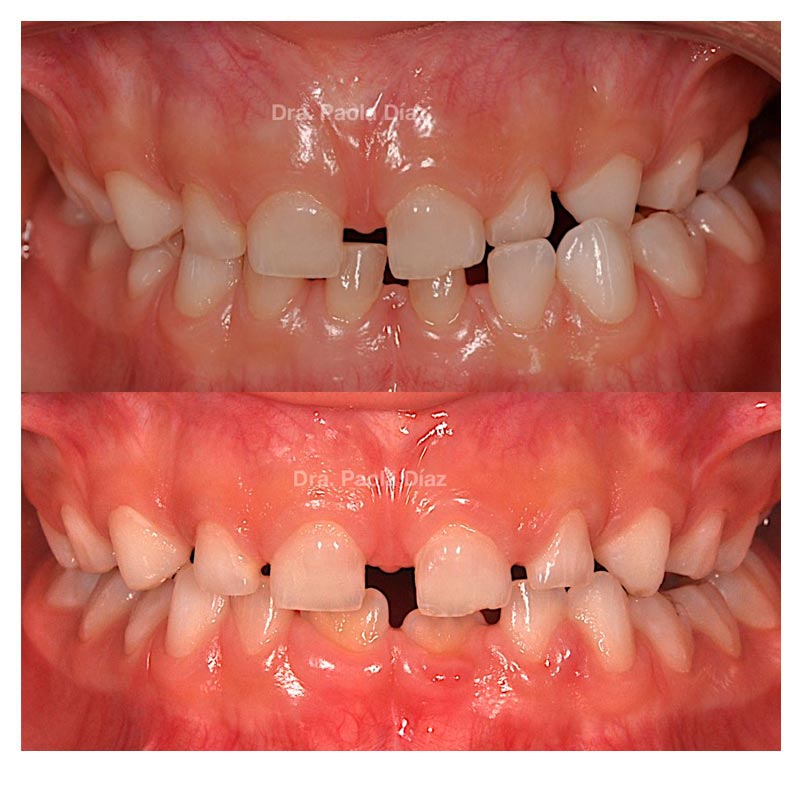
La ortodoncia es la rama de la odontología que corrige la mala posición de los huesos y dientes mediante la aplicación de fuerzas para lograr un estado óptimo de salud dental, estética dental, facial y funcional.

Además, al mejorar la posición de los dientes, favorecemos una correcta higiene, logrando prevenir enfermedades como las caries o las encías que podrían traer la perdida de dientes.